“Dysplasia…” “shallow hips…” “…dislocation…” “…torn labrum…” “arthritis”
These words swam around my head as I walked out of the doctor’s office, filled with disbelief, incomprehension and eyes brimming with tears.

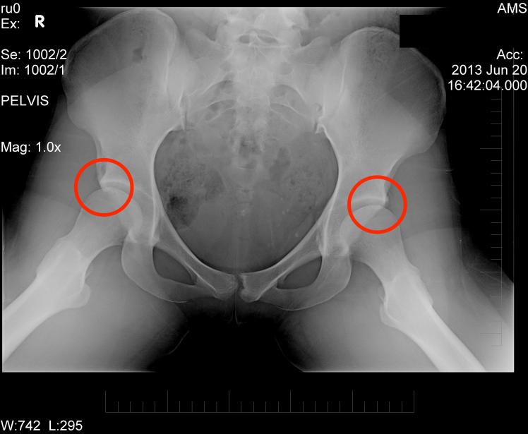
I was diagnosed with bilateral hip dysplasia at the age of 18. For those of you unfamiliar with this condition, hip dysplasia describes a hip that, for one reason or another, has not formed properly. In my case, this meant shallowness of the hip socket (the acetabular), anteversion (the ball faces the wrong direction), and impingements and growths on both sections of the joint. This condition affects thousands of people around the world, and if left untreated can lead to severely reduced mobility, torn labrums (the cartilage that fills your hip joint), osteoarthritis, osteotomies or hip replacements.
So there I was, a self-confessed exercise addict, just about to go off to university, being told that I would have to undergo a series of traumatic operations… I dealt with it the only way I knew how; by ignoring it and throwing myself wholeheartedly into a myriad of different sports and convincing myself the doctor didn’t know what he was talking about.
And it worked. At university I joined college football, basketball, boxing, pilates, and I started college rowing – managing to win a regatta that same year. It was great – exactly what I wanted from my uni experience. Every night after hobbling up the mountain that led up to my house, I would tell myself that it was fine, hips are meant to click and ache after exercise…aren’t they?
I was soon to find out the answer to that question…
(Watch out for my next post, where the story continues!)
